7 Days to a Perfect Smile: Full Mouth Rehabilitation for an International Patient
The Challenge
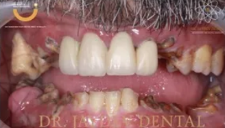
Our patient, Mr. Patel, presented with a history of failed root canals and recurrent infections in his oral cavity. Despite previous dental treatments, his teeth were deteriorating rapidly, and many were already fractured.
Coupled with ongoing systemic health issues, Mr. Patel’s dental condition had caused significant discomfort, affecting his ability to chew and speak. Given the severity of his condition, we decided that a comprehensive full mouth dental implant rehabilitation would be the most effective solution.
The Approach

Phase 1: Surgical Phase
Upon Mr. Patel’s arrival in India, a thorough clinical examination and digital evaluation were conducted. We used CBCT and 3D facial scans to develop a detailed treatment plan, ensuring accurate implant placement.

Phase 2: Prosthetic Phase
After completing the surgical phase, the patient was fitted with temporary prosthetics within 24 hours, allowing him to regain full functionality during the healing period.
Read More
Once the implants had integrated into the bone, we moved to the prosthetic phase, in which digital scans were used to create custom Zirconia and ceramic prostheses. 3D planning continued in this phase, ensuring the final prosthetics were not only functional but also aesthetically aligned with the patient’s facial features and personal preferences.
Results
The transformation was swift and impressive. In just 7 days, Mr. Patel’s journey from having damaged teeth to a fully functional and aesthetically pleasing smile was complete. The precision of digital planning and the careful attention to detail ensured the implants were placed perfectly, allowing the patient to leave with a full set of natural-looking, functional teeth.

