Cosmetic dentistry blends science and artistry to restore not only smiles but confidence, function, and quality of life. From teeth whitening to implants and full-mouth rehabilitation, these treatments serve more than just aesthetic purposes. When it comes to cosmetic dentistry for seniors and special needs patients, the focus expands to include accessibility, comfort, and long-term functionality.
“For seniors and those with special needs, cosmetic dentistry is not just about looks—it’s a matter of getting the simple pleasures of life back again, such as enjoying food, being able to speak clearly, or smiling freely,” says Dr. Jaydev M, a top-ranked dentist in Hyderabad.”. “Every smile we design is guided by a thorough knowledge of the patient’s health history, mobility, cognitive requirements, and lifestyle choices. We employ sophisticated methods to produce results that are both aesthetically pleasing and medically sound and functionally durable.”
Dr. Jaydev M is a UK-trained smile design expert with a reputation for excellence in India and overseas. With over 15 years of experience and thousands of complex cases to his credit, he has established himself as a go-to expert in cosmetic dentistry for seniors and individuals with special needs. His state-of-the-art dental clinic in Jubilee Hills, Hyderabad, is fully equipped to handle complex cases, offering tailored treatment in an environment designed for accessibility, comfort, and discretion.
First, let’s discuss why seniors and individuals with special needs require different dental care.
Understanding Unique Dental Needs
Seniors often face changes in bone structure, gum health, and tooth integrity, all of which demand age-appropriate treatment methods. Meanwhile, individuals with special needs may require behavioral adaptations, physical support, or procedural modifications that ensure comfort and effectiveness. These differences make standard dental approaches insufficient for these groups.
Here’s a quick overview of key concerns:
- Oral Anatomy Alterations: Bone loss with advancing age or development variations can affect tooth support.
- Medication Side Effects: Many medications cause dry mouth, affecting oral hygiene and increasing decay risk.
- Dexterity Challenges: Physical limitations may prevent effective brushing or flossing, needing specialized tools.
- Cognitive and Sensory Factors: Conditions like autism, dementia, or anxiety require communication strategies and treatment pacing.
An experienced dentist for disabled patients begins by understanding these nuances—evaluating each patient’s medical history, communication needs, and physical ability to customize a care plan.
Why Cosmetic Dentistry Isn't Just About Looks
Cosmetic dentistry is often misunderstood as a purely aesthetic choice, but for seniors and individuals with special needs, it’s a vital component of healthcare. Beyond a beautiful smile, these treatments restore essential daily functions—like chewing, speaking, and expressing emotions with confidence.
Functional restoration is often the primary goal, as missing or damaged teeth can impair eating, lead to nutritional deficiencies, and accelerate bone loss. Strategic interventions, such as crowns, implants, or bridges, help prevent these complications while making everyday tasks more comfortable.
Concurrently, the mental rewards are just as life-changing. The elderly patients often suffer from social isolation associated with dental problems. People with special needs can also suffer from self-esteem or anxiety. A restored smile—obtained with careful, individualized attention—can release a new level of dignity and engagement in social activity.
By integrating comfort, accessibility, and results-driven design, cosmetic procedures allow seniors and people with special needs to live again with a restored quality of life.
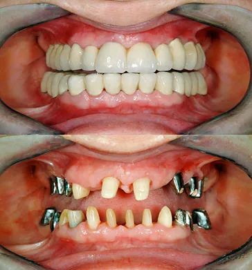
Cosmetic Dental Treatments Suitable for These Groups

Custom Dentures & Overdentures
Made with utmost precision to guarantee safe fit and comfort, the best option for seniors with multiple missing teeth or dexterity issues.

Dental Implants for Seniors
Advanced implant systems provide stability, improve chewing efficiency, and help preserve jawbone health, making them a preferred choice in elderly dental treatments.
Porcelain or Composite Veneers
Thin shells that cover worn, cracked, or discolored teeth, offering a non-invasive aesthetic upgrade tailored for aging enamel.

Implant-Retained Bridges
Provide a long-term solution for extensive missing teeth without depending on natural teeth around them, best suited for older adults looking for long-term reliability.

Full-Mouth Rehabilitation
Combines several restorative and cosmetic procedures into a staged plan for patients with complex or full-arch dental complications.

Gum Contouring & Soft Tissue Grafts
Assist reshape irregular gums or restore receded gum lines, both function and aesthetics in one procedure.
Minimal-Invasive Whitening Solutions
Professional-grade whitening designed for sensitive gums and enamel, safe for medically compromised individuals.
Digital Smile Design & 3D Planning
Aesthetic Crown Replacements
What are the true rewards of undergoing cosmetic dentistry later in life or with special needs? Let’s uncover the meaningful impacts it offers.
Benefits of Cosmetic Dentistry for Seniors and Special Needs Patients
Better Chewing & Digestion:
Restoration of missing or worn teeth ensures proper nutrition.
Bone Preservation:
Implants slow bone loss—a significant advantage in elderly dental treatments.
Improved Speech and Pronunciation:
Stable teeth support clearer, more confident speech.
Emotional Uplift and Social Confidence:
A natural-looking smile improves mental well-being and social life.
Better Oral Hygiene:
Restorations like crowns and implants simplify cleaning for those with dexterity issues.
Better Overall Health Outcomes:
Good oral function supports systemic health—critical for elderly and medically complex patients.
Tailored Treatment Planning and Considerations
In-depth Medical Evaluation:
Each treatment plan considers medical conditions, medications, and any systemic concerns affecting dental care.
Mobility & Access Support:
The facility is designed with ramps, adjustable dental chairs, and accommodation features for the physically disabled.
Family and Caregiver Collaboration:
Caregivers or family members are involved in consultations to ensure continuity of care and informed consent.
Sedation & Comfort Management:
Choices such as mild sedation or desensitization measures lessen sensory discomfort and anxiety.
Phased Treatment Strategy:
Longer procedures are planned into smaller steps to reduce stress and ensure cooperation.
Post-Treatment Guidance:
Patients and caregivers receive clear instructions for care, hygiene, and follow-up, enhancing long-term outcomes.
Why Choose Us for Cosmetic Dentistry for Seniors and Special Needs?
Led by Dr. Jaydev M – A Recognized Expert:
With more than 15 years of experience and UK-based training, Dr. Jaydev M is the most reliable name in smile design and rehabilitative dentistry for geriatric and special needs patients in Hyderabad.
Specialized Focus on Senior & Special Needs Care:
This is not generic dentistry rebranded. All protocols are specifically designed for elderly dental procedures and dental treatments for special needs patients.
Technology-Backed Precision:
Sophisticated digital workflows—from guided surgery to 3D imaging—provide precise results with little discomfort.
Truly Accessible Environment:
Our dental clinic in Hyderabad is mobility-aid ready, cognition-friendly, and caregiver-inclusive—making it an accessible dental clinic for special needs.
Whole-Body Health Approach:
Every treatment plan incorporates systemic health issues with a focus on safety and long-term stability.
Compassionate, Skilled Support Team:
Staff members are specifically trained in disability and geriatric care, so patients feel in control, respected, and calm at all times.
Frequently Asked Questions
1. What is the best cosmetic dental treatment for seniors?
2. Can elderly patients get dental implants?
3. Are there cosmetic dentistry options for people with special needs?
4. How do you care for elderly or disabled patients during treatment?
5. Is cosmetic dentistry safe for people with medical conditions?
Reference links:
https://www.ida.org.in/Public/Details/Elderly
https://my.clevelandclinic.org/health/treatments/23914-cosmetic-dentistry
Disclaimer: The information shared in this content is for educational purposes and not for promotional use.






